DIAGNOSTIK
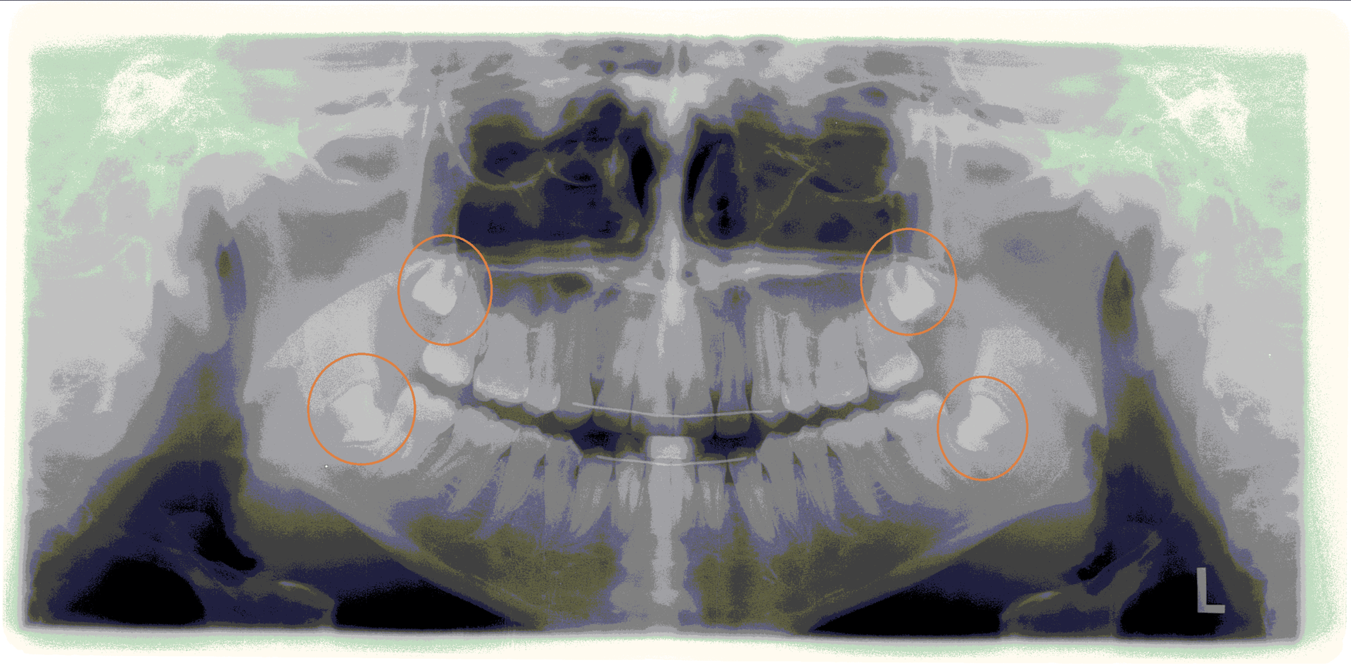
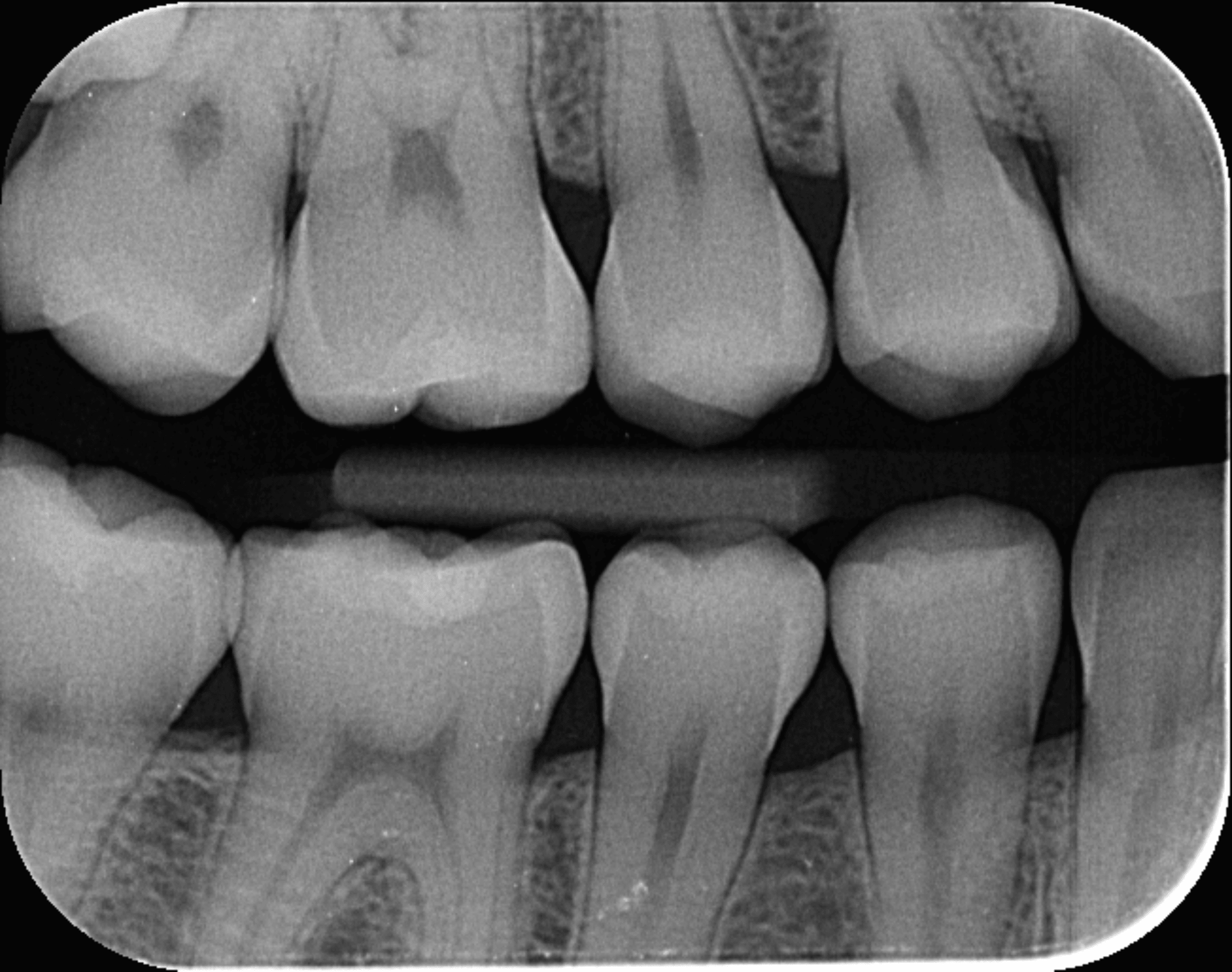
Unsere erfahrenen Zahnärztinnen setzen moderne digitale Röntgengeräte ein. So können aussagekräftige Röntgenbilder erstellt werden. Zudem profitieren Sie von einer deutlich geringeren Strahlenbelastung.
Unsere erfahrenen Zahnärztinnen setzen moderne digitale Röntgengeräte ein. So können aussagekräftige Röntgenbilder erstellt werden. Zudem profitieren Sie von einer deutlich geringeren Strahlenbelastung.
Adresse
Zahnarztpraxis Constance Mähler
Oberdorfstrasse 3
4934 Madiswil
Telefon
062 965 34 40
E-Mail
info@zpcm.ch
Öffnungszeiten
Rechtliches